Replacement of Five Teeth with a Fixed Dental Prosthesis on Bone-Level Implants - Clinical Case Report - Home
Clinical Case Report
Replacement of Five Teeth with a Fixed Dental Prosthesis on Bone-Level Implants
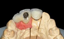
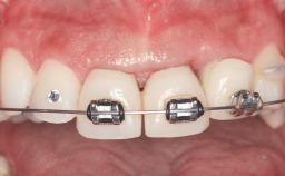
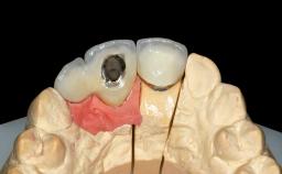
A 52-year-old male patient presented at our clinic, his concern being that most of his maxillary anterior dentition (teeth 13 to 22) was missing. This extensive tooth loss was due to trauma, which had occurred several years previously, after which the patient had been wearing a removable partial denture. He stated that the residual roots were asymptomatic, did not express any other concerns, and reported not having a routine dental history with regular dental examinations. His medical history was uneventful, and he did not smoke. A clinical and radiographic examination revealed the presence of generalized periodontal disease associated with fair to poor oral hygiene, moderate plaque, subgingival fracture of teeth 13 to 22 with a poor prognosis, defective restorations on several teeth (18, 17, 14, 24, 25, 27, 37, 45, 47, 48), periapical radiolucencies around several teeth (38, 35, 33, 43, 47), and erosive/abrasive lesions on most teeth (notably in the fifth sextant).
- Surgical SAC classification
- Advanced
- Prosthodontic SAC classification
- Advanced
- Source
- Treatment Guide 6
- Purchase price
- 10 Academy Coins
- CPD/CME
- 0.15 hours
Share this page
Download the QR code with a link to this page and use it in your presentations or share it on social media.
Download QR code