Replacement of an Ankylosed Central Incisor with a Gingival Recession: Tooth Extraction with Socket Grafting and Late Implant Placement with Simultaneous Contour Augmentation - Clinical Case Report - Home
Clinical Case Report
Replacement of an Ankylosed Central Incisor with a Gingival Recession: Tooth Extraction with Socket Grafting and Late Implant Placement with Simultaneous Contour Augmentation
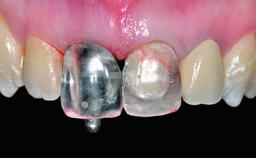
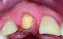
In 2008, a healthy 15-year-old female, non-smoking patient presented at our clinic with a major esthetic problem of tooth 21. Her dental history revealed that the tooth had been avulsed by trauma years before. As a result, the replanted and temporarily splinted tooth had ankylosed and was in severe apical malposition. The ankylosed tooth exhibited a significant gingival recession that disturbed the patient greatly. Due to the patient’s low age and with her skeletal growth not completed, periodic follow-up visits were scheduled to monitor the situation until the patient was old enough for implant therapy.
- Surgical SAC classification
- Complex
- Prosthodontic SAC classification
- Advanced
- Source
- Treatment Guide 10
- Purchase price
- 10 Academy Coins
- CPD/CME
- 0.15 hours
Share this page
Download the QR code with a link to this page and use it in your presentations or share it on social media.
Download QR code