Case

0.0The average rating is 0 stars out of 5.

Occlusal Load—a Factor for Implant Failure?

Nicola Ursula Zitzmann

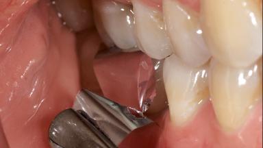
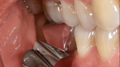
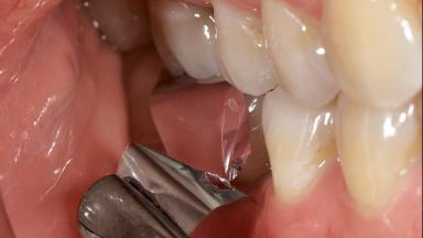
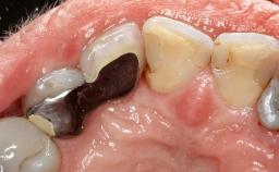
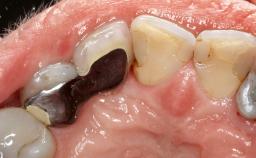
In this case, Nicola Zitzmann describes the sudden loss of a previously well-osseointegrated implant that had been in healthy function for 5 years. The case includes recommendations for occlusion and function of implant restorations. A 74-year-old patient had received implant-fixed dental prostheses in the maxilla in 2008, and in the right mandible three years later. His tooth loss was mainly related to recurrent caries associated with hyposalivation as a potential side effect of his cholesterol-lowering medication.

Surgical SAC classification
-
Prosthodontic SAC classification
-
Source
Treatment Guide 13
Purchase price
10 Academy Coins
CPD/CME
0.25 hours

General information

Case Type
Jaw -
Area -
# of Teeth -
# of Implants -
Type of Implants -
Attachment -
Bone Augmentation -
Augmentation Materials -
Guided Surgery -
Soft Tissue Grafting -
Abutment Type -
Prosthesis Type -

Esthetic Risk Assessment

Esthetic Risk Factors Low Medium High
Medical Status Healthy Compromised
Smoking Habit Non-smoker Light smoker (< 10 cigarettes per day) Heavy smoker (>= 10 cigarettes per day)
Patient's Esthetic Expectations Low Medium High
Lip Line No exposure of papillae Exposure of papillae Full exposure of mucosa margin
Periodontal Phenotype Low-scalloped, thick Medium-scalloped, medium-thick High-scalloped, thin
Shape of Tooth Crowns Rectangular Triangular
Infection at Implant Site None Chronic Acute
Bone Level at Adjacent Teeth <= 5 mm to contact point 5.5 to 6.5 mm to contact point > 7 mm to contact point
Prosthodontic Status of Neighboring Teeth Virgin Restored
Width of Edentulous Span 1 tooth (>= 7 mm) 1 tooth (< 7 mm) 2 teeth or more
Soft Tissue Anatomy Intact Defective
Bone Volume Horizontally and vertically sufficient Horizontally deficient Deficient vertically or deficient vertically AND horizontally
  • * General SAC assessment modifiers that are also part of the ERA. To avoid redundancy they are listed in this section even if no complete ERA has been made.

  • ** Not applicable to the ERA of immediate placement cases and replaced by "Socket Integrity" listed below under "Surgical SAC Classification". For all other placement types this value is a classification determinant and listed here even if no complete ERA has been made.

Surgical SAC classification

SAC Level -
Defining Characteristics -
Modality -
Placement Protocol -
Tooth Site -
Socket Morphology -
Socket Integrity -
Bone Volume -
Anatomic Risk -
Esthetic Risk -
Complexity
Risk of Complications -

Prosthodontic SAC classification

SAC Level -
Defining Characteristics -
Loading Protocol -
Retention -
Maxillomandibular Relationship -
Mesio-Distal Space -
Inter-Arch Distance -
Bruxism -
Esthetic Risk -
Provisional Implant-Supported Prosthesis -
Interim Prosthesis during Healing -
Occlusion/Articulation -
Occlusal Scheme/Issues -

Surgical SAC Modifiers

Periodontal Status -

Prosthodontic SAC Modifiers

Soft Tissue Contour and Volume -

General SAC Modifiers

Oral Hygiene and Compliance -
Access -
Craniofacial/Skeletal Growth -
Publication date: May 27, 2024 Last review date: May 20, 2024 Next review date: May 20, 2027

ITI QR code Mvc

Share this page

Download the QR code with a link to this page and use it in your presentations or share it on social media.

Download QR code
QR code