Case

0.0The average rating is 0 stars out of 5.

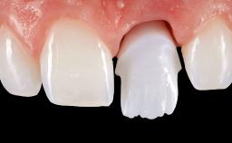
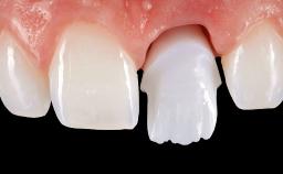
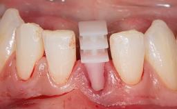
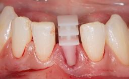
Guided Immediate Placement of a Ceramic Implant in a Maxillary Right Second Premolar and Immediate Restoration with a CAD/CAM-Fabricated Provisional Crown

André Chen

With this case, André Chen highlights the importance of the correct 3D positioning of monotype ceramic implants placed immediately in a single-tooth situation. One-piece implants have biological advantages but placing them in the correct prosthodontic position can be a challenge.

Every tooth extraction initiates a cascade of continuous events that lead to hard and soft tissue volumetric and linear changes (Araújo and coworkers 2019; Grunder 2011).

In recent years, implant dentistry has aimed to understand the biology of alveolar socket/bone remodeling in order to minimize the impact on linear and volumetric parameters, with lower morbidity and fewer esthetic problems (Atieh and coworkers 2015).

Surgical classification
Complex
Prosthodontic classification
Complex
Source
Treatment Guide 14
Purchase price
10 Academy Coins
CPD/CME
0.25 hours

General Risk Assessment

Patient-related Factors
Oral hygiene Good
Compliance Good
Patient-medical Factors
Medical Fitness Healthy, able to undergo planned anesthesia and surgical procedure (ASA I)
Medications No medications that would negatively affect the surgical procedure and outcomes.
Radiation Treatment None
Growth Status Complete
Site-related Factors
Periodontal Status No history of periodontal disease, or any active periodontal disease.
Access Adequate
Pathology near the implant site None
Previous surgeries in planned implant site No previous procedures.

Surgical Classification

Surgical Complexity
Timing of placement Immediate Placement (extraction sockets) (Type I)
Simultaneous or Staged grafting procedures Implant placement without adjunctive procedures
Anatomy
Keratinized Tissue Sufficient (>4 mm)
Soft Tissue Quality No scars or inflammation
Proximity to vital anatomic structures Minimal risk of involvement
Adjacent Teeth
Papilla Complete
Recession Absent
Interproximal attachment At CEJ
Extractions
Radicular morphology Uniradicular
Available apical bone to achieve primary stability Sufficient height ( ≥ 4 mm) and width (> 2 mm around apex of planned implant)
Socket walls Intact
Thickness of buccal wall 2mm or greater
Anticipated residual defect after implant placement 2 mm or less

Prosthodontic Classification

Complicating Factors
Biological Cement-retained restorations with appropriate contours
Mechanical/Technical Absence of contributing factors
Prosthesis Factors
Prosthetic volume Adequate. Space available for ideal anatomy of the restoration
Inter-occlusal space Adequate. Capable to create an anatomically & functionally correct planned restoration
Volume and characteristics of the edentulous ridge (fixed) Adequate. No adjunctive therapy or prosthetic soft tissue replacement will be necessary
Occlusal Factors
Occlusal scheme User-defined occlusal scheme achievable
Involvement in occlusion Minimal or no involvement
Occlusal parafunction Absent
Complexity
Loading Protocol Immediate
Implant-supported provisional restoration Required, non-esthetic site and/or functional demands
Timing of placement Immediate Placement (extraction sockets) (Type I)
Publication date: Oct 27, 2023 Last review date: Oct 20, 2023 Next review date: Oct 20, 2026

ITI QR code Mvc

Share this page

Download the QR code with a link to this page and use it in your presentations or share it on social media.

Download QR code
QR code