Surgical Management of Esthetic Implant Failures - Congress Lectures - Home
Surgical Management of Esthetic Implant Failures
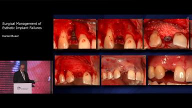
In this lecture Dr. Buser describes the most common causes of esthetic implant failures, in particular how malpositioning of the implant affects esthetic outcomes and which kind of mistakes are commonly made. Most such cases require implant removal, which results in creation of a bone defect and, very often, a soft tissue defect, i.e., lack of keratinized mucosa. He describes techniques of implant removal, methods to reestablish keratinized tissue, and factors which determine sequence of procedures needed to improve the outcome.
At the end of this Congress Lecture you should be able to:
describe causes of esthetic implant failures
define treatment options for correction of esthetic failures
discuss factors which determine selection of most appropriate treatment option
- Duration
- 56 minutes
- Source
- ITI Congress India 2019
- CPD/CME
- 0.93 hours
- Purchase price
- 28 Academy Coins
Share this page
Download the QR code with a link to this page and use it in your presentations or share it on social media.
Download QR code