Replacement of Two Central Incisors with Non-Splinted Crowns on Tissue-Level Implants - Clinical Case Report - Home
Clinical Case Report
Replacement of Two Central Incisors with Non-Splinted Crowns on Tissue-Level Implants
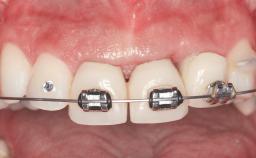
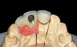
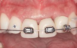
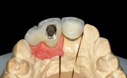
A 28-year-old female patient presented to our clinic in 2000 with failing teeth 11 and 21. She reported no general medical conditions that would prevent routine restorative and surgical procedures. She was experiencing no pain, but reported that the teeth were mobile and would like to replace them with something more permanent. Upon an extraoral and intraoral clinical examination and radiographic review, teeth 11 and 21 exhibited external and internal resorption, class II mobility, and periapical pathology. Given their poor prognosis for long-term survival, it was determined that they should be extracted. Several treatment options were considered, ranging from a conventional fixed dental prosthesis to single (cantilevered restoration) or multiple dental implants. Considering the patient’s desire to have individual teeth and the available architecture of the hard and soft tissue, it was determined that adjacent implantsupported restorations should be explored.
- Surgical SAC classification
- Advanced
- Prosthodontic SAC classification
- Complex
- Source
- Treatment Guide 6
- Purchase price
- 10 Academy Coins
- CPD/CME
- 0.15 hours
Share this page
Download the QR code with a link to this page and use it in your presentations or share it on social media.
Download QR code