
Replacement of an Endodontically Compromised Mandibular Left First Molar with Immediate Implant Placement and a Sealing Socket Abutment (SSA) - Clinical Case Report - Home
Clinical Case Report
Replacement of an Endodontically Compromised Mandibular Left First Molar with Immediate Implant Placement and a Sealing Socket Abutment (SSA)
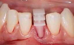
In his case, Garry Finelle outlines a minimally invasive strategy for replacing molars. In this treatment protocol, a customized anatomical healing abutment (SSA) is used to obturate the socket - stabilizing the blood clot, preventing loss of bone augmentation materials, and preventing the collapse of the surrounding soft tissue.
A 31-year-old woman was referred to the clinic by the endodontist for replacement of the mandibular left first molar (tooth 36) with a dental implant. According to the patient, tooth 36 was sensitive to heat and cold. The patient also reported discomfort and sensitivity during mastication, and mobility of tooth 36. The tooth was vital but sensitive to percussion. The radiographic evaluation showed a large radiolucency surrounding the pulp chamber of tooth 36, which was diagnosed as an irreversible external resorption; the tooth was therefore considered non-restorable.

- Surgical classification
- Complex
- Prosthodontic classification
- Straightforward
- Source
- Treatment Guide 14
- Purchase price
- 10 Academy Coins
- CPD/CME
- 0.25 hours
Share this page
Download the QR code with a link to this page and use it in your presentations or share it on social media.
Download QR code