Case

0.0The average rating is 0 stars out of 5.

Immediate Implant Placement to Replace a Fractured Central Incisor in a Young Patient and Management of Long Term Implant Infraposition

Amélie Mainjot, France Lambert

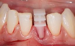
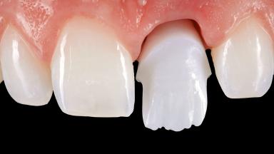
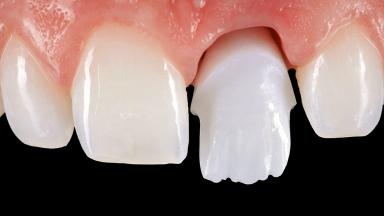
This case from Amélie Mainjot and France Lambert shows how the choice of a screw-retained restoration—which allows adjustment of the profile design over time—was key to managing complications successfully. The authors’ strategic approach avoided a crown remake while also compensating for a soft tissue mismatch. A healthy 20-year-old woman, a non-smoker, presented at the emergency department of the University Hospital of Liège in February 2011 with multiple vertical fractures of tooth 21, incisal fractures of tooth 31, and an enamel and dentin fracture of tooth 32. No tooth luxation was observed. Radiographs confirmed multiple root fractures on tooth 21, including a vertical infrabony fracture, indicating that the tooth was not restorable. A pulpectomy of tooth 21 and an indirect pulp cap on tooth 32 using resin-modified glass-ionomer cement (RMGIC) (Vitrebond; 3M, St. Paul, MN, USA) were performed. RMGC (Fuji IILC; GC, Tokyo, Japan) provisional restorations were placed on the injured teeth. The patient was sent for 3D imaging (multislice CT) the next day to determine the replacement strategy for tooth 21. Because of the vertical fractures, it was important to extract tooth 21 within a few days after the trauma to limit the risk of bacterial infection and consequent tissue loss.

Surgical classification
Complex
Prosthodontic classification
Complex
Source
Treatment Guide 14
Purchase price
10 Academy Coins
CPD/CME
0.25 hours

General Risk Assessment

Patient-related Factors
Oral hygiene Fair
Compliance Good
Patient-medical Factors
Medical Fitness Healthy, able to undergo planned anesthesia and surgical procedure (ASA I)
Medications No medications that would negatively affect the surgical procedure and outcomes.
Radiation Treatment None
Growth Status Incomplete
Site-related Factors
Periodontal Status No history of periodontal disease, or any active periodontal disease.
Pathology near the implant site None
Previous surgeries in planned implant site No previous procedures.

Surgical Classification

Surgical Complexity
Timing of placement Immediate Placement (extraction sockets) (Type I)
Simultaneous or Staged grafting procedures Implant placement with simultaneous hard and soft tissue procedures
Anatomy
Bone Volume - Horizontal Adequate
Bone Volume - Vertical Adequate
Keratinized Tissue Sufficient (>4 mm)
Soft Tissue Quality No scars or inflammation
Proximity to vital anatomic structures Minimal risk of involvement
Adjacent Teeth
Papilla Complete
Recession Absent
Interproximal attachment At CEJ
Extractions
Radicular morphology Uniradicular
Available apical bone to achieve primary stability Sufficient height ( ≥ 4 mm) and width (> 2 mm around apex of planned implant)
Socket walls Intact
Thickness of buccal wall 2mm or greater
Anticipated residual defect after implant placement 2 mm or less

Prosthodontic Classification

Complicating Factors
Biological Screw-retained restorations with appropriate contours
Mechanical/Technical Absence of contributing factors
Prosthesis Factors
Prosthetic volume Adequate. Space available for ideal anatomy of the restoration
Inter-occlusal space Adequate. Capable to create an anatomically & functionally correct planned restoration
Volume and characteristics of the edentulous ridge (fixed) Adequate. No adjunctive therapy or prosthetic soft tissue replacement will be necessary
Occlusal Factors
Occlusal scheme User-defined occlusal scheme achievable
Involvement in occlusion Involvement
Occlusal parafunction Absent
Complexity
Loading Protocol Early/Conventional
Interim prosthesis Tissue or interim implant supported
Implant-supported provisional restoration Required, elevated esthetic and/or functional demands
Timing of placement Immediate Placement (extraction sockets) (Type I)
Publication date: Oct 27, 2023 Last review date: Oct 20, 2023 Next review date: Oct 20, 2026

ITI QR code Mvc

Share this page

Download the QR code with a link to this page and use it in your presentations or share it on social media.

Download QR code
QR code