
Replacement of a Failing Upper Right Central Incisor, Ridge Preservation and Late Placement of a NC Bone Level Implant - Clinical Case Report - Home
Clinical Case Report
Replacement of a Failing Upper Right Central Incisor, Ridge Preservation and Late Placement of a NC Bone Level Implant
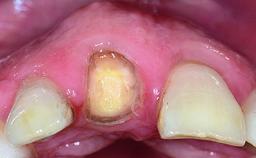
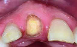
A 30-year-old patient presented at our clinic with a chief complaint of pain in her endodontically treated right maxillary central incisor (tooth 11) with a post-and-core and a fixed single crown. She had a very high lip line, a medium to thin soft-tissue phenotype, and a medium scalloped gingival contour. She also had high esthetic expectations because of her young age and beautiful smile. However, her expectations were realistic and she understood the risks of the treatment. At the initial clinical examination there was a slight mobility of tooth 11; no fistula was observed. The patient also had a single crown on the adjacent tooth 21. Both restorations were old and esthetically deficient. A digital periapical radiograph showed a very small periapical radiolucency, a thick intraradicular post, and no separation between root fragments.

- Surgical SAC classification
- Advanced
- Prosthodontic SAC classification
- Advanced
- Source
- Treatment Guide 10
- Purchase price
- 10 Academy Coins
- CPD/CME
- 0.15 hours
Share this page
Download the QR code with a link to this page and use it in your presentations or share it on social media.
Download QR code