
Replacement of an Upper Right Central Incisor with Root Resorption: Ridge Preservation, Early Placement of an RC Bone Level Implant - Clinical Case Report - Home
Clinical Case Report
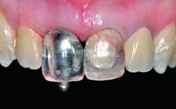
Replacement of an Upper Right Central Incisor with Root Resorption: Ridge Preservation, Early Placement of an RC Bone Level Implant
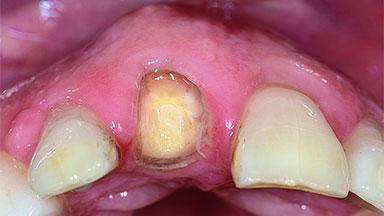
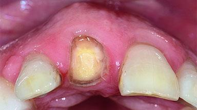
A 49-year-old female patient was referred for implant therapy to replace the upper right central incisor (tooth 11). The tooth had been assessed by an endodontist who diagnosed a vertical fracture of the root. The tooth had a hopeless prognosis and needed to be extracted. The patient was healthy and was not taking any medications. She was allergic to penicillin. The patient had high esthetic demands but her expectations were realistic. The extraoral examination revealed no facial asymmetries. The right temporomandibular joint demonstrated an opening click but was otherwise asymptomatic. The lip line was high with a significant gingival display.

- Surgical SAC classification
- Complex
- Prosthodontic SAC classification
- Advanced
- Source
- Treatment Guide 10
- Purchase price
- 10 Academy Coins
- CPD/CME
- 0.15 hours
Share this page
Download the QR code with a link to this page and use it in your presentations or share it on social media.
Download QR code