Peri-implantitis Treated with Access-Flap Surgery - Clinical Case Report - Home
Clinical Case Report
Peri-implantitis Treated with Access-Flap Surgery
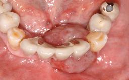
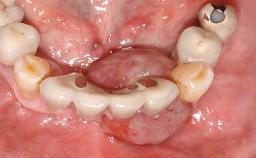
A 27-year-old male was referred to the periodontist for assessment and management of implant site 41. The implant had been placed nine years previously and restored with a screw-retained single crown. The patient was a cigarette smoker in good general health. He reported he had reduced his smoking habit from 25 cigarettes per day to 15 cigarettes per day in the previous six months. On examination, there was calculus and plaque present at the lower anterior teeth and at implant site 41. Localized attachment loss was observed at teeth 32 and 42, with 2–3 mm of gingival recession. At implant site 41, there were 8–9 mm probing depths with suppuration and bleeding on probing.
- Surgical SAC classification
- Advanced
- Prosthodontic SAC classification
- Straightforward
- Source
- Treatment Guide 8
- Purchase price
- 10 Academy Coins
- CPD/CME
- 0.25 hours
Share this page
Download the QR code with a link to this page and use it in your presentations or share it on social media.
Download QR code