
ITI Curriculum FL: Patient Assessment Case 1 - Clinical Case Report - Home
Case
5.0The average rating is 5 stars out of 5.
Example intended for case-based discussion regarding patient assessment, diagnosis and determination of risk and complexity.
- Surgical SAC classification
- -
- Prosthodontic SAC classification
- -
- Purchase price
- 0 Academy Coins
- CPD/CME
- 0 hours
Recommended content
General information
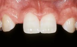
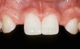
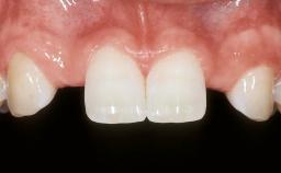
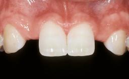
Case Type | Single-Tooth Space |
---|---|
Jaw | Maxilla |
Area | Anterior |
# of Teeth | 1 |
# of Implants | - |
Type of Implants | - |
Attachment | - |
Bone Augmentation | - |
---|---|
Augmentation Materials | - |
Guided Surgery | - |
Soft Tissue Grafting | - |
Abutment Type | - |
Prosthesis Type | - |
Esthetic Risk Assessment
Esthetic Risk Factors | Low | Medium | High |
---|---|---|---|
Medical Status | Healthy | Compromised | |
Smoking Habit | Non-smoker | Light smoker (< 10 cigarettes per day) | Heavy smoker (>= 10 cigarettes per day) |
Patient's Esthetic Expectations | Low | Medium | High |
Lip Line | No exposure of papillae | Exposure of papillae | Full exposure of mucosa margin |
Periodontal Phenotype | Low-scalloped, thick | Medium-scalloped, medium-thick | High-scalloped, thin |
Shape of Tooth Crowns | Rectangular | Triangular | |
Infection at Implant Site | None | Chronic | Acute |
Bone Level at Adjacent Teeth | <= 5 mm to contact point | 5.5 to 6.5 mm to contact point | > 7 mm to contact point |
Prosthodontic Status of Neighboring Teeth | Virgin | Restored | |
Width of Edentulous Span | 1 tooth (>= 7 mm) | 1 tooth (< 7 mm) | 2 teeth or more |
Soft Tissue Anatomy | Intact | Defective | |
Bone Volume | Horizontally and vertically sufficient | Horizontally deficient | Deficient vertically or deficient vertically AND horizontally |
* General SAC assessment modifiers that are also part of the ERA. To avoid redundancy they are listed in this section even if no complete ERA has been made.
** Not applicable to the ERA of immediate placement cases and replaced by "Socket Integrity" listed below under "Surgical SAC Classification". For all other placement types this value is a classification determinant and listed here even if no complete ERA has been made.
Surgical SAC classification
SAC Level | - |
---|---|
Defining Characteristics | - |
Modality | - |
Placement Protocol | - |
Tooth Site | - |
Socket Morphology | - |
Socket Integrity | - |
Bone Volume | - |
Anatomic Risk | - |
Esthetic Risk | - |
Complexity | |
Risk of Complications | - |
Prosthodontic SAC classification
SAC Level | - |
---|---|
Defining Characteristics | - |
Loading Protocol | - |
Retention | - |
Maxillomandibular Relationship | - |
Mesio-Distal Space | - |
Inter-Arch Distance | - |
Bruxism | - |
Esthetic Risk | - |
Provisional Implant-Supported Prosthesis | - |
Interim Prosthesis during Healing | - |
Occlusion/Articulation | - |
Occlusal Scheme/Issues | - |
Surgical SAC Modifiers
Periodontal Status | - |
---|
Prosthodontic SAC Modifiers
Soft Tissue Contour and Volume | - |
---|
General SAC Modifiers
Oral Hygiene and Compliance | - |
---|---|
Access | - |
Craniofacial/Skeletal Growth | - |
Publication date: May 28, 2021
Last review date: May 21, 2023
Next review date: May 21, 2026
- Clinical Case
ITI QR code Mvc
Share this page
Download the QR code with a link to this page and use it in your presentations or share it on social media.
Download QR code