Case

5.0The average rating is 5 stars out of 5.

Immediate Loading of Six Implants in the Mandible and Six Implants in the Maxilla and Final Restoration with Full-Arch CAD/CAM Metal Framework FDPs Involving Digital Planning and Guided Surgery

Ali Tahmaseb, Renaat De Clerck, Daniel Wismeijer

Immediate loading of dental implants is increasingly popular with clinicians and patients. The idea of delivering a restoration directly after implant insertion,combined with a less invasive procedure (flapless protocol), has made treatment protocols involving dental implants more accessible to dentists and patients. However,immediate-loading concepts require sophisticated and exact planning. To facilitate this, conventional panoramic tomographs and periapical radiographs are often taken with the patient wearing a radiographic template simulating the preoperative prosthetic design. However, these radiographs do not provide all the necessary information. In addition, some protocols call for conventional surgical templates fabricated on the diagnostic cast. These will inform the bone drilling points and drill angles, but do not reference the underlying anatomical structures or provide exact 3-D guidance.

Surgical SAC classification
Complex
Prosthodontic SAC classification
Complex
Source
Treatment Guide 4
Purchase price
10 Academy Coins
CPD/CME
0.25 hours

General information

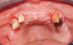
Case Type Edentulous Maxilla
Jaw Maxilla and Mandible
Area Anterior
# of Teeth All
# of Implants 12
Type of Implants One-Piece
Attachment One-Piece
Bone Augmentation No
Augmentation Materials -
Guided Surgery Yes
Soft Tissue Grafting None
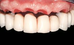
Abutment Type CAD/CAM
Prosthesis Type FDP

Esthetic Risk Assessment

Esthetic Risk Factors Low Medium High
Medical Status Healthy Compromised
Smoking Habit Non-smoker Light smoker (< 10 cigarettes per day) Heavy smoker (>= 10 cigarettes per day)
Patient's Esthetic Expectations Low Medium High
Lip Line No exposure of papillae Exposure of papillae Full exposure of mucosa margin
Periodontal Phenotype Low-scalloped, thick Medium-scalloped, medium-thick High-scalloped, thin
Shape of Tooth Crowns Rectangular Triangular
Infection at Implant Site None Chronic Acute
Bone Level at Adjacent Teeth <= 5 mm to contact point 5.5 to 6.5 mm to contact point > 7 mm to contact point
Prosthodontic Status of Neighboring Teeth Virgin Restored
Width of Edentulous Span 1 tooth (>= 7 mm) 1 tooth (< 7 mm) 2 teeth or more
Soft Tissue Anatomy Intact Defective
Bone Volume Horizontally and vertically sufficient Horizontally deficient Deficient vertically or deficient vertically AND horizontally
  • * General SAC assessment modifiers that are also part of the ERA. To avoid redundancy they are listed in this section even if no complete ERA has been made.

  • ** Not applicable to the ERA of immediate placement cases and replaced by "Socket Integrity" listed below under "Surgical SAC Classification". For all other placement types this value is a classification determinant and listed here even if no complete ERA has been made.

Surgical SAC classification

SAC Level Complex
Defining Characteristics Fully edentulous upper jaw to be rehabilitated with four or more implants
Modality 6+ implants with immediate loading
Placement Protocol -
Tooth Site -
Socket Morphology -
Socket Integrity -
Bone Volume Horizontally and vertically sufficient
Anatomic Risk Low
Esthetic Risk Medium
Complexity High
Risk of Complications High

Prosthodontic SAC classification

SAC Level Complex
Defining Characteristics Fully edentulous upper jaw to be rehabilitated with an implant-borne fixed dental prosthesis
Loading Protocol Immediate
Retention Screw-retained, with 4 or more splinted implants Screw-retained, with 4 or more splinted implants
Maxillomandibular Relationship -
Mesio-Distal Space -
Inter-Arch Distance Average
Bruxism Absent
Esthetic Risk Medium
Provisional Implant-Supported Prosthesis - -
Interim Prosthesis during Healing - -
Occlusion/Articulation -
Occlusal Scheme/Issues Anterior guidance

Surgical SAC Modifiers

Periodontal Status Healthy

Prosthodontic SAC Modifiers

Soft Tissue Contour and Volume Slightly compromised

General SAC Modifiers

Oral Hygiene and Compliance Sufficient
Access Adequate
Craniofacial/Skeletal Growth Completed
Publication date: Jan 11, 2015 Last review date: Apr 10, 2023 Next review date: Apr 10, 2026

ITI QR code Mvc

Share this page

Download the QR code with a link to this page and use it in your presentations or share it on social media.

Download QR code
QR code