
Replacement of a Mandibular Central Incisor with an Immediately Placed Monotype Zirconia Implant - Clinical Case Report - Home
Clinical Case Report
Replacement of a Mandibular Central Incisor with an Immediately Placed Monotype Zirconia Implant
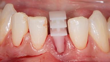
In this case, immediate implant placement and an immediate provisional prosthetic reconstruction (type 1A) were performed by Stefan Röhling and Thomas Borer to reduce the treatment time and to provide the patient with a fixed implant-supported prosthetic reconstruction directly after implant placement.
A 25-year-old male patient had suffered a traumatic loss of tooth 31 as a child. He was a light smoker (less than 10 cigarettes per day) and in good general health, with an otherwise unremarkable medical history.
Tooth 31 had been immediately re-implanted but not endodontically treated, resulting in external root resorption. Later, the tooth did receive endodontic treatment; the apical part of the root was resected, and the crown was stabilized with composite and attached to the neighboring teeth with a wire.

- Surgical classification
- Complex
- Prosthodontic classification
- Complex
- Source
- Treatment Guide 14
- Purchase price
- 10 Academy Coins
- CPD/CME
- 0.25 hours
Share this page
Download the QR code with a link to this page and use it in your presentations or share it on social media.
Download QR code