Immediate Implant Placement to Replace a Fractured Central Incisor in a Young Patient and Management of Long Term Implant Infraposition - Clinical Case Report - Home
Clinical Case Report
Immediate Implant Placement to Replace a Fractured Central Incisor in a Young Patient and Management of Long Term Implant Infraposition
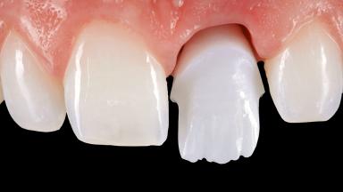
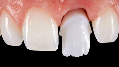
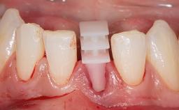
This case from Amélie Mainjot and France Lambert shows how the choice of a screw-retained restoration—which allows adjustment of the profile design over time—was key to managing complications successfully. The authors’ strategic approach avoided a crown remake while also compensating for a soft tissue mismatch. A healthy 20-year-old woman, a non-smoker, presented at the emergency department of the University Hospital of Liège in February 2011 with multiple vertical fractures of tooth 21, incisal fractures of tooth 31, and an enamel and dentin fracture of tooth 32. No tooth luxation was observed. Radiographs confirmed multiple root fractures on tooth 21, including a vertical infrabony fracture, indicating that the tooth was not restorable. A pulpectomy of tooth 21 and an indirect pulp cap on tooth 32 using resin-modified glass-ionomer cement (RMGIC) (Vitrebond; 3M, St. Paul, MN, USA) were performed. RMGC (Fuji IILC; GC, Tokyo, Japan) provisional restorations were placed on the injured teeth. The patient was sent for 3D imaging (multislice CT) the next day to determine the replacement strategy for tooth 21. Because of the vertical fractures, it was important to extract tooth 21 within a few days after the trauma to limit the risk of bacterial infection and consequent tissue loss.
- Surgical classification
- Complex
- Prosthodontic classification
- Complex
- Source
- Treatment Guide 14
- Purchase price
- 10 Academy Coins
- CPD/CME
- 0.25 hours
Share this page
Download the QR code with a link to this page and use it in your presentations or share it on social media.
Download QR code