
Bilateral Implant Placement with Simultaneous SFE: Lateral Window Technique with a Composite Graft - Clinical Case Report - Home
Clinical Case Report
Bilateral Implant Placement with Simultaneous SFE: Lateral Window Technique with a Composite Graft
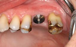
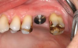
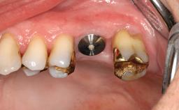
A 57-year-old woman was referred for dental implant treatment. Her maxilla had been edentulous for at least 20 years. In the mandible, the residual dentition consisted of teeth 43 to 35. The left second premolar was extremely weak and had deep caries. The residual dentition was mutilated due to parafunction and the framework present. At the time of presentation, the patient was on her third complete denture in the maxilla and her fourth partial denture in the mandible. Despite several adjustments and remakes, her maxillary complete denture had been unsatisfactory over the previous 5 years, while her mandibular partial denture had never functioned adequately. She complained about poor stability as well as pain and discomfort in both jaws.

- Surgical SAC classification
- Complex
- Prosthodontic SAC classification
- Complex
- Source
- Treatment Guide 5
- Purchase price
- 10 Academy Coins
- CPD/CME
- 0.25 hours
Share this page
Download the QR code with a link to this page and use it in your presentations or share it on social media.
Download QR code