 
                                    Oral Rehabilitation of an Elderly Edentulous Patient with Osteoarthritis Using an Implant-supported Mandibular Prosthesis with Locator Abutments - Clinical Case Report - Home
Clinical Case Report
Oral Rehabilitation of an Elderly Edentulous Patient with Osteoarthritis Using an Implant-supported Mandibular Prosthesis with Locator Abutments
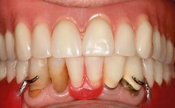
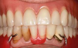
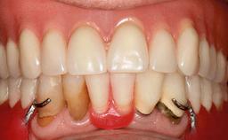
A 78-year-old man was referred to the dental hospital by his general dental practitioner. He was a non-smoker but was taking a number of medications as prescribed by his general medical practitioner, including atorvastatin-calcium for high cholesterol, lisinopril and hydrochlorothiazide for hypertension, warfarin as an anticoagulant, and metformin for the management of type 2 diabetes. The patient also suffered from osteoarthritis in both hands. The patient was edentulous in the maxilla and partially dentate in the mandible. A mandibular acrylic partial lower denture had been recently delivered but was poorly tolerated.
 
                    - Surgical SAC classification
- Advanced
- Prosthodontic SAC classification
- Advanced
- Source
- Treatment Guide 9
- Purchase price
- 10 Academy Coins
- CPD/CME
- 0.25 hours
Share this page
Download the QR code with a link to this page and use it in your presentations or share it on social media.
Download QR code 
                                     
                                    