Case

5.0The average rating is 5 stars out of 5.

Prosthodontic Solution for Two Angulated 6-mm Implants Supporting a Removable Partial Denture in a 74-year-old Patient

Ulrike Stephanie Webersberger

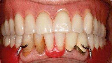
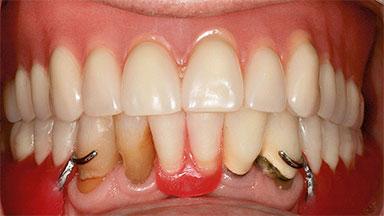
A 74-year-old woman was referred to the Department of Maxillofacial Surgery at the Medical University of Innsbruck, Austria with retention loss of her upper and lower dentures and resulting pain from the flabby ridge in the maxilla. Her general medical history included common bradycardic arrhythmias (AV block, 1st degree), bronchial asthma, and type 2 diabetes. She was under the regular control of her general practitioner, who prescribed her a number of medications including: Amilostad (Stada, Bad Vilbel, Germany) for hypertension, Singulair (MSD, Kenilworth, NJ, USA) and Symbicort turbohalers (Astra- Zeneca, London, UK) for bronchial asthma, metformin for the management of type 2 diabetes, and simvastatin for high cholesterol. Her dental history included a chin osteotomy 25 years previously. The wires of the chin osteotomy were still in place. To prevent bone resorption, the alveolar defect in the molar area had been filled with bone-graft material during the chin osteotomy after extraction of the molars.

Surgical SAC classification
Straightforward
Prosthodontic SAC classification
Advanced
Source
Treatment Guide 9
Purchase price
10 Academy Coins
CPD/CME
0.25 hours

General information

Case Type Extended Space
Jaw Mandible
Area Posterior
# of Teeth 8
# of Implants 2
Type of Implants One-Piece|Short
Attachment One-Piece|Short
Bone Augmentation No
Augmentation Materials -
Guided Surgery No
Soft Tissue Grafting None
Abutment Type Standard
Prosthesis Type RDP

Esthetic Risk Assessment

Esthetic Risk Factors Low Medium High
Medical Status Healthy Compromised
Smoking Habit Non-smoker Light smoker (< 10 cigarettes per day) Heavy smoker (>= 10 cigarettes per day)
Patient's Esthetic Expectations Low Medium High
Lip Line No exposure of papillae Exposure of papillae Full exposure of mucosa margin
Periodontal Phenotype Low-scalloped, thick Medium-scalloped, medium-thick High-scalloped, thin
Shape of Tooth Crowns Rectangular Triangular
Infection at Implant Site None Chronic Acute
Bone Level at Adjacent Teeth <= 5 mm to contact point 5.5 to 6.5 mm to contact point > 7 mm to contact point
Prosthodontic Status of Neighboring Teeth Virgin Restored
Width of Edentulous Span 1 tooth (>= 7 mm) 1 tooth (< 7 mm) 2 teeth or more
Soft Tissue Anatomy Intact Defective
Bone Volume Horizontally and vertically sufficient Horizontally deficient Deficient vertically or deficient vertically AND horizontally
  • * General SAC assessment modifiers that are also part of the ERA. To avoid redundancy they are listed in this section even if no complete ERA has been made.

  • ** Not applicable to the ERA of immediate placement cases and replaced by "Socket Integrity" listed below under "Surgical SAC Classification". For all other placement types this value is a classification determinant and listed here even if no complete ERA has been made.

Surgical SAC classification

SAC Level Straightforward
Defining Characteristics More than three missing teeth to be replaced with an implant-borne prosthesis or prostheses
Modality -
Placement Protocol Early or late implant placement
Tooth Site -
Socket Morphology -
Socket Integrity -
Bone Volume Horizontally and vertically sufficient
Anatomic Risk Low
Esthetic Risk Low
Complexity Moderate
Risk of Complications Low

Prosthodontic SAC classification

SAC Level Advanced
Defining Characteristics Up to three missing teeth to be replaced with an implant-borne restoration or restorations
Loading Protocol Conventional or early
Retention Screw-retained, with splinted implants Screw-retained, with splinted implants
Maxillomandibular Relationship -
Mesio-Distal Space Anatomic space corresponding to the missing teeth +/- 1 mm
Inter-Arch Distance > 8 mm
Bruxism Absent
Esthetic Risk Low
Provisional Implant-Supported Prosthesis - -
Interim Prosthesis during Healing Removable Removable
Occlusion/Articulation Harmonious
Occlusal Scheme/Issues -

Surgical SAC Modifiers

Periodontal Status Healthy

Prosthodontic SAC Modifiers

Soft Tissue Contour and Volume -

General SAC Modifiers

Oral Hygiene and Compliance Sufficient
Access Adequate
Craniofacial/Skeletal Growth Completed
Publication date: Mar 6, 2017 Last review date: Feb 28, 2023 Next review date: Feb 28, 2026

ITI QR code Mvc

Share this page

Download the QR code with a link to this page and use it in your presentations or share it on social media.

Download QR code
QR code