Congress Lecture

0.0The average rating is 0 stars out of 5.
Prosthodontic Planning and Procedures

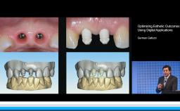
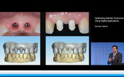
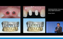
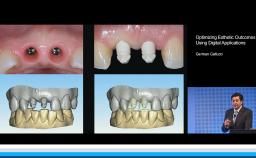
The Expanded Edentulous Space in the Anterior Maxilla – Restorative Considerations

Anthony John Dickinson

Anthony Dickinson discusses the prosthodontist’s perspective when looking at an expanded edentulous space in the anterior maxilla, including determination of what is really missing, establishing realistic expectations, factors that influence esthetic outcomes, and material and abutment selection.

This lecture is accompanied by two more lectures covering the surgical considerations and the technical considerations when looking at the expanded edentulous space in the anterior maxilla. The series highlights the necessity of communication and teamwork among the involved specialists to be successful with their treatment of the case.

At the end of this congress lecture, you should be able to…

  • elaborate on the prosthodontist’s part when dealing with an expanded edentulous space in the anterior maxilla, including managing expectations, esthetic considerations, and selection of material
  • discuss the exchange of information necessary between the involved specialists to enable successful treatment as a team
Duration
30 minutes
Source
ITI Congress Australasia 2023
CPD/CME
0.5 hours
Purchase price
15 Academy Coins
Publication date: Nov 8, 2024 Last review date: Nov 1, 2024 Next review date: Nov 1, 2027
  • Congress Lecture
  • English
  • Languages
  • Prosthodontic Planning & Procedures

ITI QR code Mvc

Share this page

Download the QR code with a link to this page and use it in your presentations or share it on social media.

Download QR code
QR code