Congress Lecture

5.0The average rating is 5 stars out of 5.
Surgical Planning and Procedures

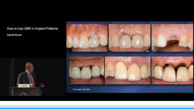
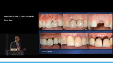
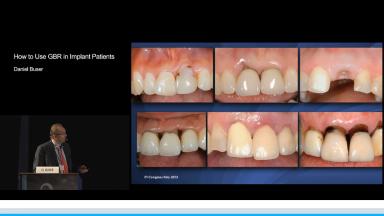
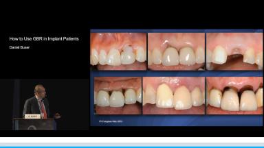
How to Use GBR in Implant Patients

Daniel Buser

Guided Bone Regeneration is a proven and predictable surgical technique to regenerate local bone defects at potential implant sites. The GBR technique can be used in most cases with a simultaneous approach, at the time of implant placement. In cases with extended bone defects, a staged approach is necessary with ridge augmentation first and implant placement 4 to 6 months later.

This lecture provides an overview of the application of GBR in implant patients with an emphasis on the following two clinical situations:

  • Implant placement with simultaneous GBR
  • Surgical management of esthetic complications using GBR
Duration
58 minutes
Source
ITI Congress Italy 2013
CPD/CME
0.96 hours
Purchase price
29 Academy Coins
Publication date: Jan 11, 2015 Last review date: Apr 10, 2023 Next review date: Apr 10, 2026
  • 2 - Advanced Beginner to Competent
  • Congress Lecture
  • English
  • Languages
  • Surgical Planning & Procedures

ITI QR code Mvc

Share this page

Download the QR code with a link to this page and use it in your presentations or share it on social media.

Download QR code
QR code