Edentement au secteur anterieur: le défi pour une esthetique optimale - Congress Lectures - Home
Surgical Planning and Procedures
Edentement au secteur anterieur: le défi pour une esthetique optimale
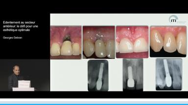
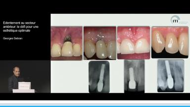
A partir de la description des facteurs de risque esthétique du bloc incisivo-canin maxillaire, de la présence d’os et de gencive autour des implants, le conférencier présente une succession de cas cliniques décrivant ses procédures chirurgicales et prothétiques.
À la fin de cette présentation, vous devriez être en mesure…
- de déterminer le bon timing de chirurgie implantaire post extractionnelle
- de réfléchir sur la préservation à moyen-long terme de l’os autour des implants
- Duration
- 34 minutes
- Source
- ITI Congress Francophone 2018
- CPD/CME
- 0.57 hours
- Purchase price
- 17 Academy Coins
Share this page
Download the QR code with a link to this page and use it in your presentations or share it on social media.
Download QR code