
Complications in Regeneration and Reconstruction - Congress Lectures - Home
Complications in Regeneration and Reconstruction
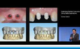
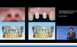
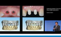
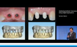
This lecture reviews in detail the various defects encountered in clinical practice that may need regenerative procedures for hard and soft tissue augmentation. The presentation is supported with excellent visual aids that illustrate how these defects can be reconstructed for prosthodontically driven implant placement. It also addresses how to prevent complications in regenerative and reconstruction procedures as well as the predominant treatment options to manage these complications. Clinical outcomes are supported by reference to several studies and clinical recommendations from the 4th ITI Consensus Conference.

At the end of this Congress Lecture you should be able to…
- describe the various bone defects encountered in clinical practice to be considered before implant placement
- discuss how to prevent complications related to bone augmentation procedures
- discuss the predominant treatment options for management of complications associated with reconstructive procedures
- explain therapeutic interventions to manage complications at different stages of implant therapy
- Duration
- 51 minutes
- Source
- ITI Congress Iberia 2015
- CPD/CME
- 0.87 hours
- Purchase price
- 26 Academy Coins
Share this page
Download the QR code with a link to this page and use it in your presentations or share it on social media.
Download QR code