
Advances and Trends in Implant Dentistry: Minimizing Risk and Avoiding Complications - Congress Lectures - Home
Advances and Trends in Implant Dentistry: Minimizing Risk and Avoiding Complications
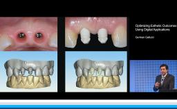
This lecture explains the trends in implant dentistry in a digital world: using digital impressions to obtain milled, printed, or digital casts; designing virtual prostheses via digital diagnostic wax-ups; and incorporating the patient’s cone beam CT into a digital workflow. This practice philosophy embraces prosthodontic-driven treatment planning in completely and partially edentulous arches through identifying the ideal prosthesis and creating prefabricated components. This presentation further demonstrates how this philosophy can lead to uneventful treatment that minimizes complications. The speaker emphasizes the key relationships between teeth, lips, and the residual ridge that indicate the optimal three-dimensional position for implant prostheses, and he advocates for the use of interim prostheses.

At the end of this Congress Lecture you should be able to…
- explain the importance of digital impressions in reducing treatment complications
- describe the digital workflow for implant therapy
- discuss the prosthodontic-driven practice philosophy
- Duration
- 48 minutes
- Source
- ITI Congress France 2016
- CPD/CME
- 0.8 hours
- Purchase price
- 24 Academy Coins
Share this page
Download the QR code with a link to this page and use it in your presentations or share it on social media.
Download QR code