
Staged GBR with Allogeneic Particulate Grafting Material for Single-Tooth Replacement - Clinical Case Report - Home
Clinical Case Report
Staged GBR with Allogeneic Particulate Grafting Material for Single-Tooth Replacement
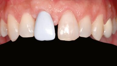
Staged bone augmentation of the alveolar ridge is indicated whenever a proposed implant site is deficient and will not support implant placement with simultaneous grafting. This is particularly true of healed sites presenting with facial flattening of the ridge. Since primary stability cannot possibly be achieved in this situation, it is recommended to use a staged approach with guided bone regeneration (GBR) for correct three-dimensional placement of the implant. In the anterior maxilla, staged GBR procedures are conducted not only to provide adequate bone volume for implant placement but also to restore a proper and stable contour of the orofacial ridge for improved long-term esthetics. A case is presented that demonstrates the technique for single-tooth replacement utilizing a staged approach with a particulate grafting material. A 50-year-old man whose tooth 11 was missing presented for consultation to the Center for Implant Dentistry in January 2010.

- Surgical SAC classification
- Complex
- Prosthodontic SAC classification
- Advanced
- Source
- Treatment Guide 7
- Purchase price
- 10 Academy Coins
- CPD/CME
- 0.15 hours
Share this page
Download the QR code with a link to this page and use it in your presentations or share it on social media.
Download QR code