Simultaneous Maxillary and Mandibular Full-Arch Fixed Rehabilitation: Extractions, Immediate Implant Placement and Loading, and Definitive Zirconia Prostheses - Clinical Case Report - Home
Clinical Case Report
Simultaneous Maxillary and Mandibular Full-Arch Fixed Rehabilitation: Extractions, Immediate Implant Placement and Loading, and Definitive Zirconia Prostheses
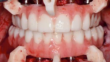
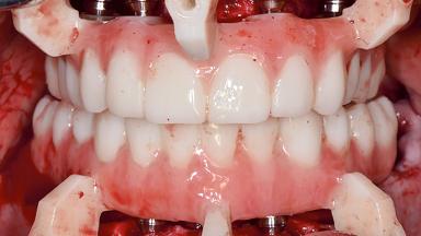
An alert and ambulatory 60-year-old male patient presented with a desire to "repair or replace his teeth". A detailed clinical evaluation revealed multiple missing teeth. Generalized severe calculus and biofilm accumulation was noted, associated with poor oral hygiene. All remaining teeth were mobile and showed more than 50% attachment loss. All molars showed furcation involvement. Caries was prevalent throughout the remaining dentition. The patient reported intolerance of his existing removable partial prosthesis, which had been fabricated more than 20 years previously.
- Surgical classification
- Complex
- Prosthodontic classification
- Complex
- Source
- Treatment Guide 15
- Purchase price
- 10 Academy Coins
- CPD/CME
- 25 hours
Share this page
Download the QR code with a link to this page and use it in your presentations or share it on social media.
Download QR code