
Shell Technique for Horizontal and Vertical Maxillary Bone Augmentation in a Partially Edentulous Patient with Aggressive Periodontal Disease - Clinical Case Report - Home
Clinical Case Report
Shell Technique for Horizontal and Vertical Maxillary Bone Augmentation in a Partially Edentulous Patient with Aggressive Periodontal Disease
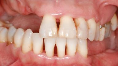
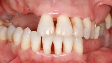
A 46-year-old woman was referred for treatment whose main complaints were mobility of her fixed partial dentures (right maxilla and left mandible) and periodontal bleeding during function. She also reported having taken systemic antibiotics to treat recurrent swelling in the area of the upper left molars. The patient had not seen a dentist for at least 2 years. She did not smoke and had no history of major systemic disease other than two minor orthopedic procedures some years back. The first-visit examination revealed poor plaque control, tooth mobility, periodontal disease, and a residual dentition widely associated with deep periodontal pockets.

- Surgical SAC classification
- Complex
- Prosthodontic SAC classification
- Advanced
- Source
- Treatment Guide 7
- Purchase price
- 10 Academy Coins
- CPD/CME
- 0.15 hours
Share this page
Download the QR code with a link to this page and use it in your presentations or share it on social media.
Download QR code