
SFE with Particulated Autografts Combined with Vertical Ridge Augmentation using Onlay Block Grafts and a Staged Approach - Clinical Case Report - Home
Clinical Case Report
SFE with Particulated Autografts Combined with Vertical Ridge Augmentation using Onlay Block Grafts and a Staged Approach
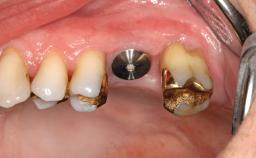
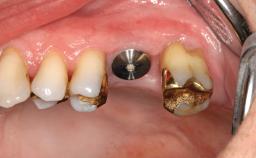
A 44-year-old man presented mainly because his complete denture in the maxilla was unstable and to get an opinion on a previous surgical reconstruction. He had worn a complete denture since he was 20 years old, following extraction of his entire dentition. His desire for treatment had led him to undergo bone grafting from the iliac crest, performed in a different oral surgery clinic around 1 year previously. Unfortunately, this treatment had failed because numerous technical issues involved in a surgical procedure as complex as this one had not been adequately observed.

- Surgical SAC classification
- Complex
- Prosthodontic SAC classification
- Complex
- Source
- Treatment Guide 5
- Purchase price
- 10 Academy Coins
- CPD/CME
- 0.15 hours
Share this page
Download the QR code with a link to this page and use it in your presentations or share it on social media.
Download QR code