
SFE with BCP using a Staged Approach - Clinical Case Report - Home
Clinical Case Report
SFE with BCP using a Staged Approach
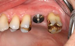
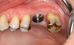
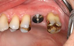
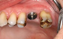
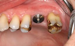
A 53-year-old woman was referred to the Department of Oral and Maxillofacial Surgery for implant treatment of her partially edentulous right maxilla. Teeth 15 and 16 had been extracted 1 year previously. The patient complained of inadequate chewing ability on the right side. She had tried a partial removable denture but found the discomfort unacceptable. Her teeth were in a fairly good condition, although tooth 14 had been endodontically treated without success and was recurrently causing discomfort. In the panoramic radiograph, it was found to be associated with a periapical lesion. Teeth 41 and 31 were congenitally missing.

- Surgical SAC classification
- Complex
- Prosthodontic SAC classification
- Straightforward
- Source
- Treatment Guide 5
- Purchase price
- 10 Academy Coins
- CPD/CME
- 0.15 hours
Share this page
Download the QR code with a link to this page and use it in your presentations or share it on social media.
Download QR code