
SFE with a Composite Graft using a Staged Approach - Clinical Case Report - Home
Clinical Case Report
SFE with a Composite Graft using a Staged Approach
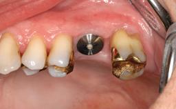
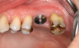
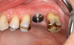
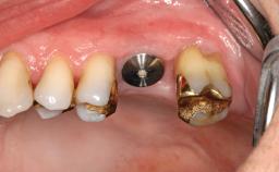
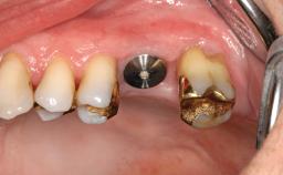
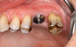
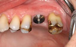
A 58-year-old man with missing teeth distal of 24 and 35 was referred for treatment. He reported a history of recurrent caries and endodontic complications as the reason for previous tooth extractions. The patient’s dental history showed no evidence of periodontal disease and bruxism. He complained about inadequate chewing ability and was dissatisfied with the esthetics of his smile. His desire was to have the edentulous areas rehabilitated in a stable and comfortable fashion. The patient did not have any systemic diseases, was not on any medication, and did not smoke. An extraoral inspection revealed an edentulous area in the left distal aspect of his smile. Intraorally, partial edentulism was noted in the maxillary left posterior segment distal to tooth 24. The left mandibular molars were also missing. Intermaxillary relations were normal in the edentulous areas, as was the interarch distance. Also, the edentulous ridges were found to have a favorable shape with a rounded profile.

- Surgical SAC classification
- Complex
- Prosthodontic SAC classification
- Straightforward
- Source
- Treatment Guide 5
- Purchase price
- 10 Academy Coins
- CPD/CME
- 0.15 hours
Share this page
Download the QR code with a link to this page and use it in your presentations or share it on social media.
Download QR code