
SFE with a Composite Graft Combined with Vertical Ridge Augmentation using Onlay Grafts and a Staged Approach - Clinical Case Report - Home
Clinical Case Report
SFE with a Composite Graft Combined with Vertical Ridge Augmentation using Onlay Grafts and a Staged Approach
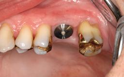
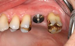
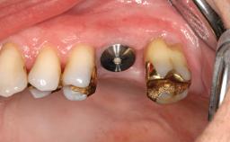
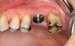
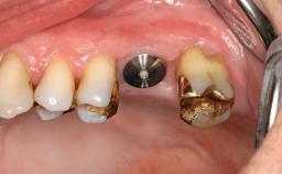
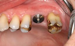
A 40-year-old woman with partial edentulism in both maxillary posterior segments was referred for consultation and treatment. Her main concern was the missing posterior teeth, which compromised mastication and were detrimental to her facial esthetics. She requested to have her appearance improved with a fixed prosthesis supported by oral implants. The patient reported a previous history of periodontal disease as the main cause of tooth loss in the posterior maxilla. She was in good general health, did not take any medications, and did not smoke.

- Surgical SAC classification
- Complex
- Prosthodontic SAC classification
- Straightforward
- Source
- Treatment Guide 5
- Purchase price
- 10 Academy Coins
- CPD/CME
- 0.15 hours
Share this page
Download the QR code with a link to this page and use it in your presentations or share it on social media.
Download QR code