
Retreatment of a Patient with Multiple Biological and Technical Complications and Failures - Clinical Case Report - Home
Clinical Case Report
Retreatment of a Patient with Multiple Biological and Technical Complications and Failures
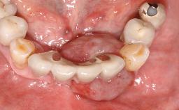
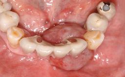
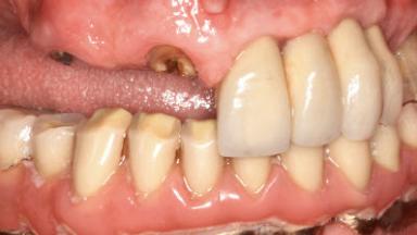
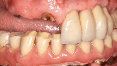
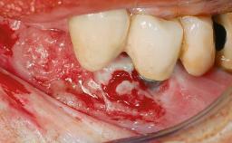
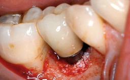
A 66-year-old patient presented because of retention loss of the tooth-supported FDP in the right maxilla (x-13-x-11). The mandibular full-arch implant-supported reconstruction (x-i34-i33-x-x-x-x-i43-i44-x) had suffered extreme wear. His medical history revealed high blood pressure, controlled with anti-hypertensive medication. The patient was a light smoker (2 to 3 cigarettes per day). The existing reconstructions had been performed alio loco about five years previously. That treatment had taken an extensive amount of time, and as early as during the fabrication of the reconstructions, multiple complications had occurred with the provisionals.

- Surgical SAC classification
- Straightforward
- Prosthodontic SAC classification
- Complex
- Source
- Treatment Guide 8
- Purchase price
- 10 Academy Coins
- CPD/CME
- 0.15 hours
Share this page
Download the QR code with a link to this page and use it in your presentations or share it on social media.
Download QR code