
Replacement of Six Teeth with a Fixed Dental Prosthesis on Four Bone-Level Implants - Clinical Case Report - Home
Clinical Case Report
Replacement of Six Teeth with a Fixed Dental Prosthesis on Four Bone-Level Implants
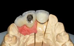
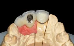
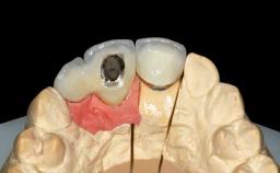
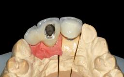
In November 2010, a 44-year-old woman presented to the Harvard School of Dental Medicine seeking options to replace her failing six-unit conventional prosthesis. Having served for approximately 10 years, the fixed partial denture had repeatedly needed recementation after chronic dislodgement over the past few months. Following these episodes, the patient requested further evaluation of her current prosthesis and showed interest in exploring other options for a fixed solution. The patient was in good overall health, presenting with no systemic contraindications to implant therapy or any history of allergies; she did not smoke and was on no medications. Being a well-motivated individual, she regularly saw her general dental practitioner and effectively complied with oral hygiene requirements.

- Surgical SAC classification
- Advanced
- Prosthodontic SAC classification
- Straightforward
- Source
- Treatment Guide 6
- Purchase price
- 10 Academy Coins
- CPD/CME
- 0.15 hours
Share this page
Download the QR code with a link to this page and use it in your presentations or share it on social media.
Download QR code