
Replacement of Multiple Teeth in a Partially Dentate Posterior Mandible with a Fixed Dental Prosthesis Using a Flapless Approach - Clinical Case Report - Home
Clinical Case Report
Replacement of Multiple Teeth in a Partially Dentate Posterior Mandible with a Fixed Dental Prosthesis Using a Flapless Approach
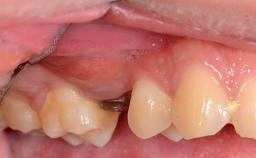
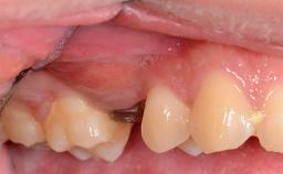
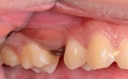
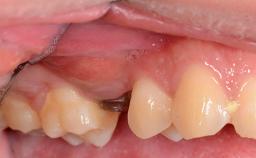
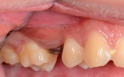
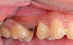
An 80-year-old female patient was referred to clinic for rehabilitation of her dentition. The patient’s medical history revealed no significant findings that would preclude routine dental and oral surgical procedures. She reported no drug allergies and was currently taking no prescription medications.
Her chief complaint was her inability to masticate efficiently due to the recent loss of her mandibular second premolars and first molars bilaterally. She expressed a desire for fixed prostheses in the shortest possible time due to her advanced age, requesting that replacement teeth should look as natural as possible. She was otherwise comfortable and not experiencing any symptoms from her teeth.

- Surgical SAC classification
- Advanced
- Prosthodontic SAC classification
- Straightforward
- Source
- User Case
- Purchase price
- 10 Academy Coins
- CPD/CME
- 0.15 hours
Share this page
Download the QR code with a link to this page and use it in your presentations or share it on social media.
Download QR code