
Replacement of Four Incisors with a Fixed Dental Prosthesis on Two Bone-Level Implants - Clinical Case Report - Home
Clinical Case Report
Replacement of Four Incisors with a Fixed Dental Prosthesis on Two Bone-Level Implants
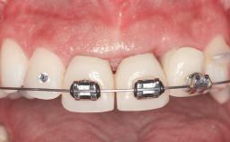
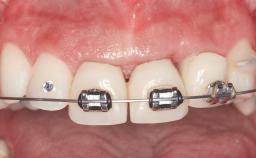
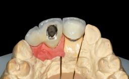
In November 2007, a 52-year-old woman presented with a failing restoration of the anterior maxilla in the form of a four-unit metal-ceramic fixed partial denture. As secondary caries had led to fracture of the abutment teeth bilaterally, the existing restoration could not be preserved. The patient was in good systemic health, and her medical history was without significant findings. Nor did the ensuing intra- and extraoral examination yield any significant findings. The patient had both a high lip line and high esthetic expectations. The preextraction findings suggested that no hard-tissue augmentation would be required before implant placement. After discussing the higher risk of immediate placement with the patient, she agreed to undergo “early implant placement after soft-tissue healing” simultaneously with guided bone regeneration (GBR) for hard-tissue augmentation.

- Surgical SAC classification
- Advanced
- Prosthodontic SAC classification
- Advanced
- Source
- Treatment Guide 6
- Purchase price
- 10 Academy Coins
- CPD/CME
- 0.15 hours
Share this page
Download the QR code with a link to this page and use it in your presentations or share it on social media.
Download QR code