
Replacement of an Upper Right Central Incisor with Root Resorption: Ridge Preservation, Delayed Placement of an NC Bone Level Roxolid Implant - Clinical Case Report - Home
Clinical Case Report
Replacement of an Upper Right Central Incisor with Root Resorption: Ridge Preservation, Delayed Placement of an NC Bone Level Roxolid Implant
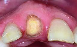
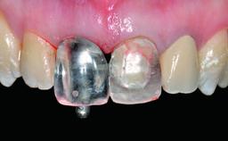
A 32-year-old female Caucasian patient with a compromised maxillary right central incisor was referred to us by a general dentist. Her chief complaints were discomfort and mobility of tooth 11 with unsatisfactory esthetics due to discoloration. The patient reported a previous trauma, some years earlier, as the origin of pathology on the afflicted tooth. Anamnesis was negative for any other dental or periodontal pathology in the remaining dentition. The patient did not take any medication and reported to be a light smoker (5–10 cigs/day). She had high esthetic expectations of her treatment. The extraoral examination revealed a high smile line with full exposure of her maxillary teeth and surrounding soft tissue in the area between the second premolars.

- Surgical SAC classification
- Complex
- Prosthodontic SAC classification
- Advanced
- Source
- Treatment Guide 10
- Purchase price
- 10 Academy Coins
- CPD/CME
- 0.15 hours
Share this page
Download the QR code with a link to this page and use it in your presentations or share it on social media.
Download QR code