
Replacement of an Upper Right Central Incisor with a Regular Neck Implant, Restored with an All-Ceramic Crown, Cemented - Clinical Case Report - Home
Clinical Case Report
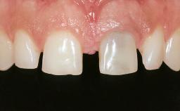
Replacement of an Upper Right Central Incisor with a Regular Neck Implant, Restored with an All-Ceramic Crown, Cemented
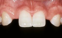
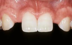
The 54-year-old male patient, a non-smoker, had ceramometal crowns on teeth 11 and 12 that no longer met his esthetic needs. The patient was free of pain. His medical history was without significant findings, and the patient was in good general health. The patient’s wish was to improve the esthetics of his anterior teeth. At full smile, the patient presented a medium to high lip line, displaying the full crowns and the marginal gingiva. The harmony of the gingival margin was disrupted by the now rejected ceramo-metal crowns on teeth 11 and 12. The crowns differed from the respective contralateral teeth in shape, texture, and color. The patient’s gingival biotype was thick, with a broad band of attached keratinized gingiva and a moderate (medium) scallop height. The soft tissues were free of recessions. The patient’s soft-tissue situation was favorable due to the slight soft-tissue excess at the buccal gingival margin of tooth 11 compared to that of tooth 21.

- Surgical SAC classification
- Complex
- Prosthodontic SAC classification
- Advanced
- Source
- Treatment Guide 1
- Purchase price
- 10 Academy Coins
- CPD/CME
- 0.15 hours
Share this page
Download the QR code with a link to this page and use it in your presentations or share it on social media.
Download QR code