
Replacement of an Upper Right Central and Lateral Incisor with an Implant-Supported Crown and a Distal Cantilever - Clinical Case Report - Home
Clinical Case Report
Replacement of an Upper Right Central and Lateral Incisor with an Implant-Supported Crown and a Distal Cantilever
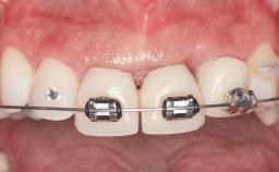
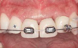
This 20-year-old woman was referred to our department in July 2006. Four months earlier, she had experienced dental trauma to the anterior maxilla when traveling in South America. The emergency treatment included emergency root canal treatment of teeth 12 and 11. Tooth 21 was also subjected to endodontic treatment later. At the initial examination, the patient was not in pain but reported increased mobility of tooth 12. The clinical examination revealed a high smile line, medium thickness of the soft tissue, and rectangular tooth forms. Discoloration of tooth 12 was evident. The periapical radiograph provided by the referring dentist indicated a fracture line at both teeth 12 and 11. A cone-beam computed tomography (CBCT) scan confirmed these fractures. No pathology was found to be associated with tooth 21.

- Surgical SAC classification
- Advanced
- Prosthodontic SAC classification
- Advanced
- Source
- Treatment Guide 6
- Purchase price
- 10 Academy Coins
- CPD/CME
- 0.15 hours
Share this page
Download the QR code with a link to this page and use it in your presentations or share it on social media.
Download QR code