
Replacement of an Upper Left Persisting Deciduous Canine with a Regular Neck Implant, Restored with a Ceramo-Metal Crown, Horizontally Screw-Retained - Clinical Case Report - Home
Clinical Case Report
Replacement of an Upper Left Persisting Deciduous Canine with a Regular Neck Implant, Restored with a Ceramo-Metal Crown, Horizontally Screw-Retained
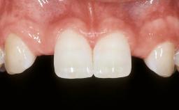
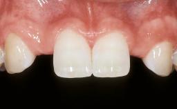
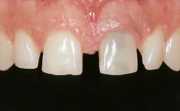
In October 1999, the 35-year-old female patient, a nonsmoker, presented at our clinic with a persisting deciduous canine 63 that displayed all the clinical signs and symptoms of an ankylosed primary tooth, including inadequate crown volume, discoloration, locally perturbed occlusal plane, inharmonious course of the associated soft tissue, advanced root resorption, and increased mobility. The patient had a strong wish for a durable improvement of the situation with a clear emphasis on dental/gingival esthetics. The patient was in good general health, and her medical history revealed no significant findings.

- Surgical SAC classification
- Complex
- Prosthodontic SAC classification
- Advanced
- Source
- Treatment Guide 1
- Purchase price
- 10 Academy Coins
- CPD/CME
- 0.15 hours
Share this page
Download the QR code with a link to this page and use it in your presentations or share it on social media.
Download QR code