
Replacement of an Upper Left Central Incisor with a Regular Neck Implant, Restored with a Ceramo-Metal Crown, Transocclusally Screw-Retained - Clinical Case Report - Home
Clinical Case Report
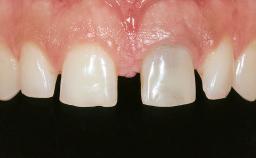
Replacement of an Upper Left Central Incisor with a Regular Neck Implant, Restored with a Ceramo-Metal Crown, Transocclusally Screw-Retained
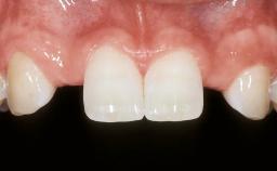
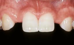
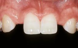
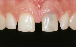
In September 2004, a 38-year-old female patient, a nonsmoker, was referred to our clinic for the replacement of the missing left central maxillary incisor (tooth 21),which had been removed two months before the initial appointment due to a vertical root fracture. The dental patient history revealed that the tooth in question had supported a ceramo-metal crown for more than ten years before the root fracture occurred. Implant therapy (single-tooth replacement) was considered the first therapeutic choice, as the neighboring teeth did not require significant restoration. The patient was in good general health, and her medical history revealed no significant findings.

- Surgical SAC classification
- Advanced
- Prosthodontic SAC classification
- Advanced
- Source
- Treatment Guide 1
- Purchase price
- 10 Academy Coins
- CPD/CME
- 0.15 hours
Share this page
Download the QR code with a link to this page and use it in your presentations or share it on social media.
Download QR code