
Replacement of a Missing Upper Left Central Incisor, Late Placement of an RC Bone Level Implant and Adjacent Tooth Restoration - Clinical Case Report - Home
Clinical Case Report
Replacement of a Missing Upper Left Central Incisor, Late Placement of an RC Bone Level Implant and Adjacent Tooth Restoration
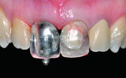
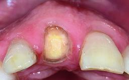
A healthy 38-year-old male patient was referred for replacement of a failing tooth-supported cantilever fixed dental prosthesis on teeth 11 and 21. The patient reported a history of trauma at 13 years of age that had resulted in the subsequent loss of tooth 11, as well as endodontic treatment of the adjacent abutment tooth 21. A metal-ceramic cantilever fixed dental prosthesis replacing tooth 11 had been provided by his general dentist several years after the loss of the tooth, with tooth 21 as the sole abutment. At the time of initial presentation, this restoration had been in service for over 20 years.

- Surgical SAC classification
- Advanced
- Prosthodontic SAC classification
- Advanced
- Source
- Treatment Guide 10
- Purchase price
- 10 Academy Coins
- CPD/CME
- 0.15 hours
Share this page
Download the QR code with a link to this page and use it in your presentations or share it on social media.
Download QR code