
Replacement of a Maxillary Right First Molar Using an Early Loading Protocol - Clinical Case Report - Home
Clinical Case Report
Replacement of a Maxillary Right First Molar Using an Early Loading Protocol
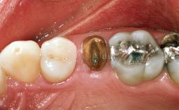
A 50-year-old female patient, a non-smoker, presented to the private office with a crown-restored and endodontically treated tooth, 16. Due to pain symptoms, there was a need for treatment. Another clinician had previously offered the patient a treatment option including root-canal retreatment and/or apical root resection, and she requested a second opinion. Radiographic examination revealed a less than ideal rootcanal therapy that had caused periapical osteolysis. After evaluating all the different treatment options, it was decided to extract tooth 16 and replace it with a dental implant and crown.

- Surgical SAC classification
- Straightforward
- Prosthodontic SAC classification
- Straightforward
- Source
- Treatment Guide 2
- Purchase price
- 10 Academy Coins
- CPD/CME
- 0.15 hours
Share this page
Download the QR code with a link to this page and use it in your presentations or share it on social media.
Download QR code