
Replacement of a Failing Restored Upper Right Central Incisor, Ridge Preservation and Early Placement of an RC Bone Level Implant - Clinical Case Report - Home
Clinical Case Report
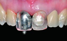
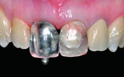
Replacement of a Failing Restored Upper Right Central Incisor, Ridge Preservation and Early Placement of an RC Bone Level Implant
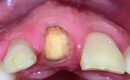
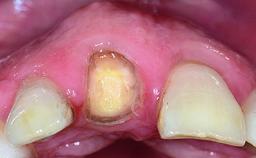
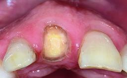
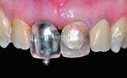
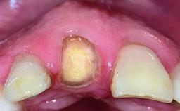
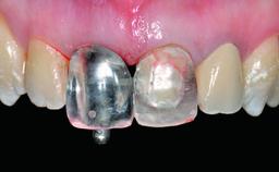
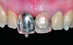
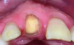
A 23-year-old female, healthy and non-smoking patient had had tooth 11 temporarily restored following a trauma in adolescence. As the patient’s growth had since come to an end and the crown had fractured, she requested an implant-supported restoration of tooth 11. Moreover, the contralateral tooth 21 presented an old composite restoration at the mesial incisal edge. The periodontal tissues were healthy with periodontal probing depth values below 3 mm, but some inflammation was observed around the semi-submerged root of tooth 11.

- Surgical SAC classification
- Advanced
- Prosthodontic SAC classification
- Advanced
- Source
- Treatment Guide 10
- Purchase price
- 10 Academy Coins
- CPD/CME
- 0.15 hours
Share this page
Download the QR code with a link to this page and use it in your presentations or share it on social media.
Download QR code