
Peri-Implantitis Modified by the Presence of Submucosal Excess Cement: Reconstructive Therapy and a Ten-Year Follow-up - Clinical Case Report - Home
Clinical Case Report
Peri-Implantitis Modified by the Presence of Submucosal Excess Cement: Reconstructive Therapy and a Ten-Year Follow-up
This case outlines the reconstructive therapy by Giovanni Salvi resulting in defect fill and inflammation-free peri-implant soft tissues at 10-year follow up. This case highlights the importance of regular monitoring of implants during supportive therapy.
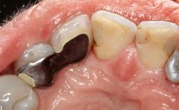
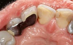
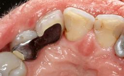
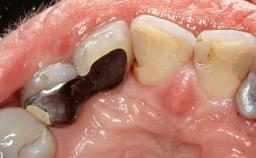
A 30-year-old female patient was referred to the Department of Periodontology of the University of Bern, Switzerland, by a private dentist. Tooth 45 was congenitally missing and had been replaced with an implant three years prior to the first visit at the Department of Periodontology.

- Surgical SAC classification
- -
- Prosthodontic SAC classification
- -
- Source
- Treatment Guide 13
- Purchase price
- 10 Academy Coins
- CPD/CME
- 0.25 hours
Share this page
Download the QR code with a link to this page and use it in your presentations or share it on social media.
Download QR code