
Peri-implant Carcinoma - Clinical Case Report - Home
Clinical Case Report
Peri-implant Carcinoma
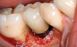
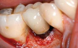
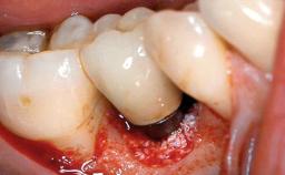
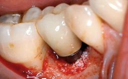
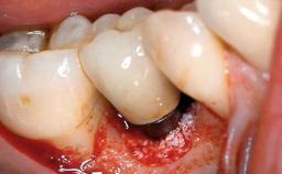
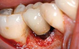
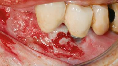
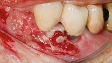
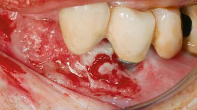
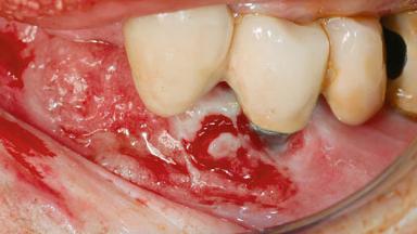
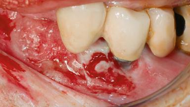
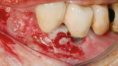
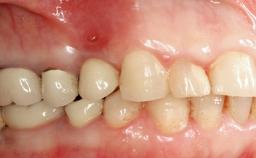
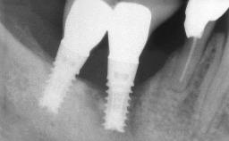
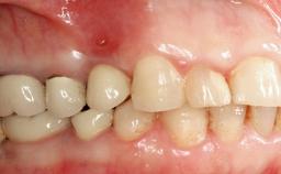
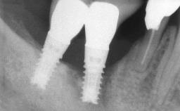
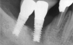
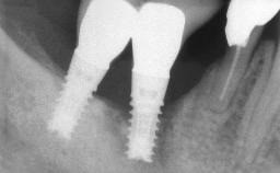
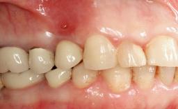
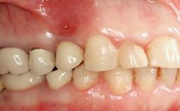
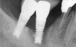
Oral implants are highly successful and offer long-term benefits, especially in the rehabilitation of edentulous patients or patients with oral defects following ablative tumor surgery (Albrektsson and coworkers 1986), and also after radiation therapy (Schiegnitz and coworkers 2014). With the number of implants placed globally going into the millions, implant dentists have observed some rare adverse events. Although carcinogenesis around implants is an exceedingly rare phenomenon, we recently reported about 15 patients treated for carcinomas adjacent to implants at our clinical department over a period of fifteen years (Moergel and coworkers 2014). The following case represents a patient of this cohort; it discusses possible risk factors and makes suggestions for a recall schedule. A 70-year-old woman was referred to our outpatient department for evaluation of a rapidly growing macroscopic alteration of the mucosa in the left mandible.

- Surgical SAC classification
- Straightforward
- Prosthodontic SAC classification
- Straightforward
- Source
- Treatment Guide 8
- Purchase price
- 10 Academy Coins
- CPD/CME
- 0.25 hours
Share this page
Download the QR code with a link to this page and use it in your presentations or share it on social media.
Download QR code