
Oral Lichen Planus Associated with the Peri-implant Mucosa - Clinical Case Report - Home
Clinical Case Report
Oral Lichen Planus Associated with the Peri-implant Mucosa
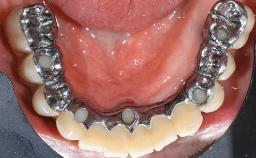
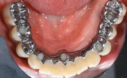
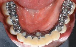
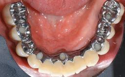
This case describes the ongoing management of a 64-year-old healthy, non-smoking female patient with erosive oral lichen planus (OLP) affecting the gingivae and the buccal and lingual mucosa. The peri-implant mucosa was also affected subsequent to implant placement. The patient had osseointegrated implants (four in the maxilla, four in the mandible) placed following extraction of hopeless teeth and a healing period. The patient had a history of OLP prior to implant placement and had been referred to an oral-medicine specialist for definitive diagnosis and treatment. She exhibited generalized oral mucosal involvement. Following a clinical assessment, biopsy, and blood tests, she was treated with topical corticosteroids. Systemic prednisolone was reserved for severe flare-ups. Amphotericin lozenges were used in combination with corticosteroid treatment to prevent the development of oral candidiasis.

- Surgical SAC classification
- Complex
- Prosthodontic SAC classification
- Complex
- Source
- Treatment Guide 8
- Purchase price
- 10 Academy Coins
- CPD/CME
- 0.25 hours
Share this page
Download the QR code with a link to this page and use it in your presentations or share it on social media.
Download QR code