
Missing Maxillary Central Incisor, Single Implant Replacement with Adjacent Tooth Restoration - Clinical Case Report - Home
Clinical Case Report
Missing Maxillary Central Incisor, Single Implant Replacement with Adjacent Tooth Restoration
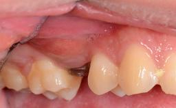
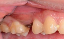
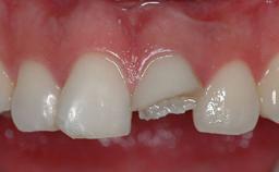
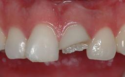
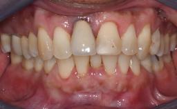
The patient presented with a failing tooth-supported fixed dental prosthesis with cantilever extension replacing the right maxillary central incisor. His chief presenting complaint was poor esthetics, in particular the dark discolored margin around the abutment tooth, the maxillary left central incisor. He reported a history of trauma at a young age, which necessitated the replacement of his maxillary right central incisor as well as root canal therapy of the adjacent left central incisor. The existing prosthesis had been in situ for over 20 years. The initial periapical radiograph displayed good proximal bone levels at the adjacent teeth and a wide incisive canal, which was a concern. The left central incisor presented a very wide root canal treatment with compromised radicular dentin thickness, which was a consideration in the decision between a new tooth-supported fixed dental prosthesis vs. an implant-supported prosthesis. After a lengthy discussion on the risks and benefits of both treatment options, the patient decided on a single-tooth implant replacement.

- Surgical SAC classification
- Advanced
- Prosthodontic SAC classification
- Complex
- Source
- User Case
- Purchase price
- 10 Academy Coins
- CPD/CME
- 0.25 hours
Share this page
Download the QR code with a link to this page and use it in your presentations or share it on social media.
Download QR code