Late Presentation of Peri-Implant Mucositis Requiring Soft-Tissue Augmentation and Esthetic Crown Lengthening at Implant Site 11 - Clinical Case Report - Home
Clinical Case Report
Late Presentation of Peri-Implant Mucositis Requiring Soft-Tissue Augmentation and Esthetic Crown Lengthening at Implant Site 11
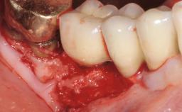
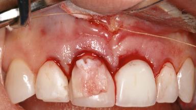
Biological or technical complications around implant-supported prostheses place a significant burden on patients as well as the surgical and restorative team. Inflammation of the peri-implant soft tissues is often the first sign that something has gone awry. While there is never a good time for a complication, late presentation of inflammation in the soft tissues around a long-standing prosthesis triggers a period of research and review of the case in order to ascertain the treatment history and its possible contribution to the etiology of the situation. This becomes more complicated in situations where a patient has not received regular maintenance and clinical/radiographical examinations due to personal, financial, or professional reasons. When the complication occurs in the esthetic zone, the complexity of the situation expands exponentially, as the only acceptable outcome in the patient’s eyes will be the maintenance of the esthetics of the prosthesis.
- Surgical SAC classification
- -
- Prosthodontic SAC classification
- -
- Source
- Treatment Guide 13
- Purchase price
- 10 Academy Coins
- CPD/CME
- 0.25 hours
Share this page
Download the QR code with a link to this page and use it in your presentations or share it on social media.
Download QR code