
Immediate Loading of Four Implants in the Mandible and Final Restoration with a Full-Arch Metal Framework FDP - Clinical Case Report - Home
Clinical Case Report
Immediate Loading of Four Implants in the Mandible and Final Restoration with a Full-Arch Metal Framework FDP
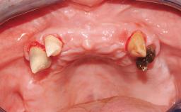
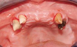
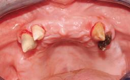
A fully edentulous 65-year-old woman was referred to our clinic for esthetic and functional dental rehabilitation. The patient presented with inadequate complete maxillary and mandibular prostheses, insufficient vertical dimension, and extensive tooth wear. The clinical examination and anamnesis showed no local or systemic contraindications, no signs or symptoms of bruxism, and an absence of smoking habits. The treatment proposed was implant placement in the mandibular interforaminal area and immediate loading with a fixed definitive prosthesis. A removable mucosa-supported complete prosthesis was indicated for the upper jaw, since its bone structure offered satisfactory retention and the financial condition of the patient disfavored a full-mouth implant-supported rehabilitation.

- Surgical SAC classification
- Advanced
- Prosthodontic SAC classification
- Complex
- Source
- Treatment Guide 4
- Purchase price
- 10 Academy Coins
- CPD/CME
- 0.25 hours
Share this page
Download the QR code with a link to this page and use it in your presentations or share it on social media.
Download QR code