
Four Immediately Loaded Mini-Implants Supporting a Mandibular Overdenture - Clinical Case Report - Home
Clinical Case Report
Four Immediately Loaded Mini-Implants Supporting a Mandibular Overdenture
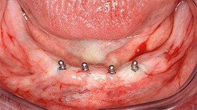
A 74-year-old male patient, a non-smoker, who had been wearing complete dentures for more than 30 years, presented to our clinic complaining about discomfort in connection with his lower denture. The patient suffered from asthma and had a history of cardiac disease and blood pressure disorders. All conditions were medically controlled and stable. The clinical inspection of the oral cavity revealed an ill-fitting complete mandibular denture. The patient expressed the wish for his lower denture to “stop moving when chewing, swallowing, and speaking.” He reported having heard about dental implants and asked whether these could help in “fixing” his lower denture, but also requested non-invasive treatment. The mucosa presented healthy and was free of defects such as pressure sores. An band of keratinized mucosa approximately 2 mm wide was visible. The patient’s mucosal biotype was medium thick to thin.

- Surgical SAC classification
- Advanced
- Prosthodontic SAC classification
- Advanced
- Source
- Treatment Guide 9
- Purchase price
- 10 Academy Coins
- CPD/CME
- 0.25 hours
Share this page
Download the QR code with a link to this page and use it in your presentations or share it on social media.
Download QR code