
Early Placement of an Implant in a Maxillary Right Central Incisor Site - Clinical Case Report - Home
Clinical Case Report
Early Placement of an Implant in a Maxillary Right Central Incisor Site
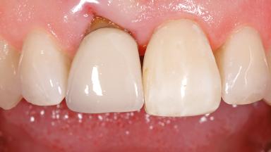
This 41-year-old female patient was referred to the clinic for the replacement of the right central incisor, since the tooth had developed a root fracture in the long axis that made extraction necessary. The healthy, non-smoking patient was first seen with the tooth still in place. A detailed Esthetic Risk Assessment was performed.The patient was worried about her dental esthetics and had high expectations for a successful treatment outcome from an esthetic point of view. The patient had a medium lip line that displayed parts of the gingiva in the anterior maxilla upon smile.

- Surgical SAC classification
- Advanced
- Prosthodontic SAC classification
- Advanced
- Source
- Treatment Guide 3
- Purchase price
- 10 Academy Coins
- CPD/CME
- 0.25 hours
Share this page
Download the QR code with a link to this page and use it in your presentations or share it on social media.
Download QR code